Some interesting Discogel cases
C5-C6 & C6-C7 disc herniation Before(desktop: left) and After the Discogel injection(desktop: right)




Adjacent level L1-L2 and L4-L5 disc herniations (5 years after a complicated lumbar fixation surgery) treated by Discogel Injection



3 level cervical herniated discs treated by Discogel injection


"Discogel injection for the treatment of cervical herniated discs
Patient's image after injection and Several years post-injection, the patient's mobility issues and pains have disappeared


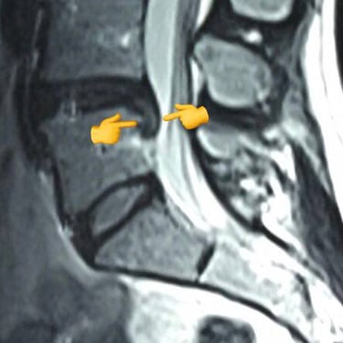
This young lady had a disc herniation at T12-L1 and was seeking treatment due to localized and radiating pain. In the images below:
The patient during the Discogel injection, the site of injection, immediate CT scans after Discogel injection, and a picture of the patient 8 years after Discogel injection. She is now a professional athlete, with her pain issues resolved





Various medication treatments over several months had not alleviated his pain. He underwent a discogel injection, and after the injection, his pain progressively improved. Photos: Walking on the day after the injection, ten days after injection.
Now, he has returned to his normal life.





Eight years ago, he underwent a DiscoGel injection. His pain quickly disappeared, and he is now a professional athlete.



Symptoms: Severe disabling low back and sciatica pain for two years




Discogel in the CT Scan





C5-C6 & C6-C7 disc herniation Before(desktop: left) and After the Discogel injection(desktop: right)


An intriguing case involved severe herniation and disc rupture between L4 and L5 vertebrae, causing intense pain. Opting out of surgery, the patient chose to try Discogel. Due to severe foraminal stenosis from the extruded disc, the Discogel injection was cautiously prolonged to one hour. Post-injection CT scan revealed effective penetration into fragmented disc components in the narrowed foraminal space.
The patient's pain gradually diminished after 4-5 weeks, and complete relief was achieved after several months.
The first image is six months post-injection, and the second image is three years post-injection."
Important Note: Foraminal disc herniation and migration into the intervertebral foramen significantly reduce the likelihood of a favorable response to Discogel injection and are not recommended for such cases.




